. Visitas:
LEISHMANIOSIS CUTÁNEA DISEMINADA CON MANIFESTACIONES NEUROLÓGICAS, EN UN PACIENTE INMUNOCOMPROMETIDO.
AUTORES:
Ruiz Pons Francisco, Medicina Interna, Hosp. Gral. Comalcalco, Dr. Muñoz Campos M. Neurocirujano, Hosp. A.E. Rovirosa, Dr. Vasconcelos Rueda J.M. Médico General, Clínica Sta. Elvira.
PUBLICADO EN:
Revista de Medicina Interna de México, volumen , Suplemento 1, 2014, Resumenes del XXXVII Congreso Nacional de Medicina Interna de México, 13 al 15 de Noviembre, 2013, Acapulco Guerrero.
![]() |
![]() |
![]() |
![]() |
![]() |
INTRODUCCIÓN:
La leishmaniosis constituye un espectro de enfermedades causadas por especies del protozoo flagelado Leishmania, intracelular obligado. Produce lesiones a nivel cutáneo (Cutánea Localizada (LCL) y Diseminada (LCD), Mucocutáneo (LMC) y Visceral (LV ó Kala-azar), se describe también la Post kala-azar.
Se encuentra distribuida en regiones tropicales, subtropicales y templadas. En México, se distribuye en Chiapas, Oaxaca, Tabasco, Veracruz, Campeche, Yucatán y Quintana Roo. En la LV los amastigotes se encuentran en aspirados de médula ósea, biopsia de bazo e hígado.
En la LCL y LMC se realizan raspado, biopsia, impronta y extendido de las lesiones y ganglios linfáticos. Los amastigotes se visualizan con tinción Giemsa. También La prueba de ELISA, IFAT (Indirect fluorescence antibody test), inmunofluorescencia directa y la prueba de aglutinación directa (DAT).
La intradermorreación de Montenegro, la técnica de PCR. En el tratamiento se utiliza antimoniales pentavalentes: antimoniato de meglumina (Glucantime) y estibogluconato de sodio (Pentostam), Anfotericina B, Anfotericina B liposomal (AmBisome), Anfotericina B desoxicolato, y pentamidina.
Miltefosine; en América se acepta para tratar lesiones cutáneas y mucocutáneas. Cuando coexisten infección por VIH y leishmaniasis, la literatura especializada sugiere el tratamiento establecido para la infección por VIH combinado con anfotericina B liposomal y miltefosine para la leishmaniasis. Se utiliza la termoterapia en lesiones pequeñas.
DESCRIPCIÓN DEL CASO:
Masculino con 10 días de evolución, inicio con nauseas y vómitos gastricos asociado con vertigo, se añadio inestabilidad a la marcha, cefalea holocraneana y deterioro de funciones superiores hasta su postración.A su ingreso TA 160/80, FC 70, FR 18, Temp. 38 oC. P 55 kg. Desgaste, Glasgow 14 con parésia de predominio derecho, compromiso de IV par craneal izquierdo, nistagmo horizontal discreto, lesiones eritematoviolaceas (lupoideas) algunas ulceradas, polimorficas de diferentes tamaños (3 a 4 cm de diametro las más grandes) en oreja izquierda, tronco y extremidades (en número de 10 aprox. de predominio en tronco).
Estudios de lab: Hb. 11.6, Hto. 33.4, Leuc. 3,259, Plaq. 112,000, Linf 25%, EGO hb 250 ul 15 lpc. C. Granul 2xc, Gluc 88, Cr 0.9, Urea14.4, BUN 31, A. Uric. 5.3, Na 141, K 3.7, Cl 106, APE 2.0, Elisa VIH positivo, Impronta POSITIVA.
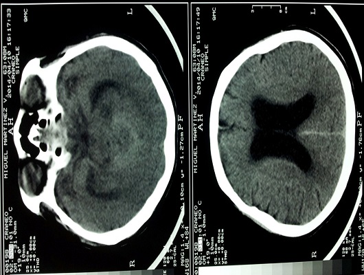
Descripción tomografica: Tc simple y contrastada, lesión de fosa posterior de predominio vermiano, que obstruye 4to. Ventriculo produciendo hidrocefalea supratentorial. Evolucionó a más deterioro, mirada congelada, llegando al coma, en los 5 días despues falleció. No se aceptó derivación ventriculoperitoneal con toma de muestra de LCR, propuesta por neurocirugía.
COMENTARIOS:
La Leishmaniosis se considera un problema de salud pública debido a su amplia distribución geográfica y porque puede llegar a producir lesiones destructivas, incapacitantes o causar la muerte como en este caso. Éste, es uno más de los que se presentan en el trópico, pero con manifestacion clinica abigarrada, ya que usualmente es localizada (LCL) con evolución benigna; sin embargo, su asociación a inmunocompromiso celular (VIH y trasplantados) tiene ingerencia en la presentacion clínica no común. Las titulaciones de CD4 menores de 300 cel/mm3 se asocia a la presentación visceral ó menor de 50 cel/mm3 con infección diseminada. Las manifestaciones de SNC (neurotropismo) es poco común y no hay reporte en méxico de casos como éste, que derivó en manifestación dermatologica generalizada, datos vicerales y con afección neurológica. Sólo se reportan poco casos en la literatura de la india, nepal, bangradesh y sudán.
Se genera por contiguidad a senos paranasales en la LMC; tambien se presenta disfunción de nervio craneal y meningitis, sin evidencia franca de lesión en Tc (nuestro caso presentó hidrocefalea); se ha reportado parálisis de tipo Guillain Barre (a causa de desmielinización). El diagnostico principalmente es por PCR de liquido cefaloraquideo. En animales se han observado amastigotes en plexos coroides y meninges.
Se identifica en la revisión de NEJM 2012, la intervención fisiopatológica de la NS1 con el Heparan sulfato de la pared del endotelio, así como la disminución de fibrinógeno sérico (presente en orina) en la alteración del TTP. Lo que al parecer justifica la no exponenciación de riesgo de sangrado en el paciente anticoagulado con Acenocumarina, o Enoxaparina, y evidencia la importancia de la disfunción endotelial en la evolución grave.
CONCLUSIONES:
- La Leishmaniosis, igual que la tuberculosis, debe tomarse en cuenta entre las enfermedades emergentes del trópico, para poner énfasis en su prevención y control.
- Las presencia de casos de VIH/SIDA condiciona cambios en la presentacion clinica y la evolución de la leishmaniosis.
- La manifestacion neurologica se asocia a Leishmaniosis (neuritis, neuropatia periferica, meningitis e hidrocefalea).
- Es evidente la función de la inmunidad celular en en control innato de la leishmaniosis.
- La desforestación incrementa el contacto entre reservorios y vectores con el humano.
- Las acciones encaminadas al control de los reservorios (vacunas) y vector (piretroides) son básicas para erradicar la leishmaniosis.
![]() |






